Prótesis Dentales

Si le faltan varios dientes debido a caries, lesiones o el proceso natural de envejecimiento, las dentaduras postizas pueden ser la solución perfecta.

Las prótesis dentales modernas están hechas de materiales duraderos y de alta tecnología y son mucho más fáciles de mantener de lo que cree. Si están diseñadas y ajustadas correctamente, sus prótesis dentales actuarán como dientes naturales y le permitirán sonreír, hablar y masticar con confianza. 

Esta no es su única opción para reemplazar dientes. Lo ayudaremos a comparar tratamientos y le brindaremos toda la información que necesita para tomar la mejor decisión para usted.

Existen diversos tipos de prótesis dentales: prótesis totales, prótesis parciales y prótesis fijas, también conocidas como puentes dentales.

Prótesis Totales

Las prótesis dentales totales son dispositivos que reemplazan a toda la dentadura, ya sea superior, inferior o ambas. Son una opción para personas que han perdido todos sus dientes, son extraíbles y pueden usarse para reemplazar los dientes que faltan. Los dientes de la prótesis están hechos de porcelana o acrílico y se unen mediante una base de acrílico.

Prótesis parciales

Una prótesis parcial removible es un dispositivo dental diseñado para reemplazar uno o varios dientes faltantes. Está compuesta por una base de metal o resina acrílica que se ajusta a la forma, de tu boca y se sostiene en su lugar mediante ganchos metálicos que se enganchan a los dientes naturales adyacentes.

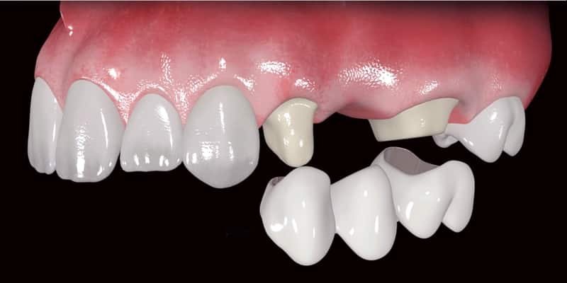
Prótesis fija

Si has perdido uno o más dientes, y deseas una opción más estable y que no sea removible, eres un candidato ideal para un puente dental. Está compuesto por 2 coronas ubicadas en 2 dientes naturales que actúan como pilares a cada lado del puente y por pónticos (dientes falsos) que van al centro del puente según el número de dientes perdidos.

No se recomienda puentes muy extensos ya que podrían fracasar por falta de soporte y deben ser reforzados por algún implante. Los puentes más estéticos y duraderos son de porcelana y lucen igual que sus dientes naturales y le devuelven a su sonrisa la salud y función originales.

Los puentes dentales son fijos ya que no pueden ser retiradas por el paciente y muchos los consideran una mejor alternativa a las prótesis parciales removibles.

Caracteristicas

  • Son biocompatibles, es decir, no causan reacciones alérgicas o irritaciones.
  • Son translúcidas y se asemejan al color de los dientes naturales.
  • Son muy resistentes y pueden soportar las fuerzas de masticación sin fracturarse, tanto para el sector posterior como anterior de la boca.
  • Suelen ser las ideales para usar sobre implantes dentales.
  • Son adecuadas por la resistencia a la fractura que brindan